Frattura Capitello Radiale
- le cause
L’articolazione del gomito è composta dalla parte inferiore dell’omero nelle sue due parti (troclea e condilo) e le estremità superiori delle ossa dell’avambraccio che sono il Radio e l’Ulna (con il capitello radiale e la cavità sigmoidea dell’ulna). Attraverso queste superfici è possibile il movimento di flesso estensione del gomito e di rotazione dell’avambraccio (prono-supinazione).
Grazie proprio al capitello radiale, ai legamenti tra radio e ulna e alle estremità inferiori di queste due ossa è possibile inoltre eseguire il movimento di prono-supinazione, cioè la rotazione dell’avambraccio in un senso o nell’altro.
Varie possono essere le cause di una frattura capitello radiale: generalmente il meccanismo più frequente che porta a questo infortunio è una caduta sul palmo della mano aperta, in atteggiamento di frenare l’impatto con il gomito piegato. Non sempre è percepibile da parte del paziente la sensazione acustica di rottura ossea, ma avviene subito una percezione molto forte di dolore e di grande instabilità del gomito.
Questo tipo di frattura avviene in quanto il capitello radiale viene spinto con forza e con grande accelerazione contro la superficie inferiore dell’omero, generando quindi una grande forza che rompe le superfici del capitello radiale.
Un altro meccanismo della frattura capitello radiale è un trauma diretto verso la superficie esterna del gomito: questo tipo di incidente generalmente si trova durante le attività sportive o con scontro automobilistico.
- i sintomi
Come avviene per tutte le fratture, il dolore è il sintomo principale che viene avvertito da parte del paziente, con una impossibilità a ruotare l’avambraccio, rendendo quindi nulli alcuni tipi di movimento del gomito e del polso.
Sono presenti inoltre altri sintomi quali:
- Rossore nella zona lesionata
- Gonfiore con/senza ematoma da stravaso ematico
- Difficoltà nei movimenti del polso e del gomito
- Lesioni tendinee e/o capsulari
- Possibile frattura dell’ulna
- Possibile lesione sia vascolare sia nervosa
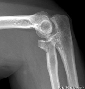
- Diagnostica e trattamento
Nel caso in cui si abbia avuto un trauma o una caduta con conseguente dolore al gomito, il consiglio è quello di eseguire una radiografia per mostrare la presenza di una frattura.
In questo tipo di trauma l’esame attraverso raggi x risulta essere l’esame più indicato per mostrare la presenza di rime di frattura e vedere se sono presenti dei frammenti ossei che si sono staccati; la Risonanza magnetica invece viene suggerita solo nel caso siano presenti dei danni ai legamenti e alla capsula.
Nei casi gravi di frattura capitello radiale può essere utile una scansione sui vari piani per individuare bene anche il trattamento chirurgico da eseguire.
In ortopedia si suddividono le fratture al capitello radiale in quattro tipologie:
- Frattura semplice composta con una rima di frattura
- Frattura ad una sola rima scomposta (frammento si sposta da dove c’è stata la lesione) oppure una frattura del collo del capitello
- Frattura pluriframmentaria
- Frattura pluriframmentaria con lussazione del gomito (si intende la perdita di contatto tra radio e omero).
Se nel primo tipo di frattura il trattamento consigliato è quello conservativo con apparecchio gessato e immobilizzazione, nel secondo e terzo tipo l’approccio è chirurgico attraverso l’utilizzo o di filo metallico oppure con viti e placche. Nell’ultimo caso, quello più grave come quadro, il trattamento può essere o attraverso una riduzione con mezzi metallici sopra citati, oppure attraverso la rimozione del capitello radiale e l’inserimento di una protesi.
Per procedere con il trattamento più adeguato in base al livello di spostamento dei frammenti ossei:
- fratture con 30° di angolazione: generalmente si procede immobilizzando il braccio utilizzando un tutore o il gesso: in questo modo si evitano ulteriori lesioni sulla parte lesionata; poi si procede con l’aspirazione dell’ematoma per alleviare il dolore al gomito
- – fratture con 60° di angolazione: è necessario procedere con la manipolazione e la riduzione in modo da riallineare i frammenti ossei; è molto comune la “tecnica manipolativa di Patterson”.
- – fratture instabili e lussazioni: è necessario intervenire chirurgicamente per rimuovere il blocco osseo, i frammenti ossei ed effettuare una ricostruzione. Si interviene chirurgicamente anche nel caso di fratture esposte.
- possibili complicanze
Nonostante sia una frattura abbastanza comune, altrettanto frequenti sono le complicanze che avvengono in questa parte anatomica.
Partendo dal presupposto che ciò che rende la prognosi migliore o peggiore è anche la condizione della frattura stessa, ai medici ortopedici grava il compito di saldare una struttura dotata di ampio movimento e che coinvolta in due differenti movimenti: flesso estensione di gomito e prono-supinazione dell’avambraccio.
Sono presenti quindi in alcuni trattamenti chirurgici alcuni problemi come:
- filo metallico posizionato in maniera errata con filo che sporge verso la cute e possibile palpazione dello stesso.
- infezione della placca o della vite
- pseudoartrosi: in questo caso si intende una difficoltà nel consolidamento della frattura che rimane quindi fragile e non saldata.
- lesione nervosa
- lesione vascolare
- ossificazione eterotopica: avviene la formazione di osso dove fisiologicamente non dovrebbe esserci
- artrosi post-traumatica: avviene una degenerazione della cartilagine prematuramente con poi indicazione per una eventuale protesi
- limitazione funzionale: nel caso in cui la fisioterapia non venga eseguita correttamente o per limite meccanici dovuti all’operazione, il movimento non viene recuperato completamente.
- Fisioterapia
Sia che il trattamento sia stato con immobilizzazione, sia che sia stato eseguito un intervento per ridurre la frattura, la riabilitazione e la fisioterapia di una frattura capitello radiale è FONDAMENTALE!!!
Iniziare immediatamente la fisioterapia dopo la valutazione ortopedica è risulta importantissimo in quanto permette innanzitutto di recuperare progressivamente il movimento e il ritorno alle attività di vita quotidiane; inoltre è importante per ridurre la formazione di tessuto fibroso e depositi calcici a livello dell’articolazione.
Recuperare da un trauma come una frattura capitello radiale è una cosa molto seria: non sempre è possibile tornare ad un recupero 100%, proprio perchè può esser presente una frattura molto importante o per un intervento chirurgico particolarmente difficile.
Innanzitutto quindi è bene recuperare l’elasticità muscolare, il movimento sia attivo che passivo; successivamente è bene riattivare la muscolatura rinforzando le strutture e recuperando anche il trofismo dei vari muscoli e dell’articolazione.
Affidati a mani sicure, affidati ad un fisioterapista!
Per leggere l’articolo completo segui link: http://www.cervicalevertigini.it/frattura-capitello-radiale















Scrivi un commento
Devi accedere, per commentare.